ANKETA: Bodo opičje koze prerasle v epidemijo svetovnih razsežnosti kot covid-19?

| v Slovenija

V Sloveniji smo potrdili dva primera opičjih koz. Zato smo se odločili preveriti, ali naše bralce skrbi, da bodo opičje koze prerasle v epidemijo svetovnih razsežnosti kot covid-19. Svoje mnenje lahko izrazite v anketi na koncu članka.

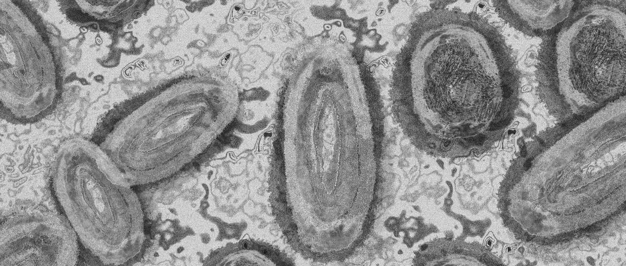
Prvi primer opičjih koz pri človeku je bil zabeležen leta 1970 v Demokratični republiki Kongo, v obdobju okrepljenih prizadevanj za odpravo črnih koz.

Od takrat so o opičjih kozah največkrat poročali pri ljudeh v več drugih srednje- in zahodnih afriških državah. Med njimi v Kamerunu, Srednjeafriški republiki ter Slonokoščeni obali.

So pa se primeri opičjih koz pri ljudeh že pojavili zunaj Afrike, povezani z mednarodnimi potovanji ali uvoženimi živalmi, vključno s primeri v Združenih državah, pa tudi v Izraelu, Singapurju in Združenem kraljestvu.

Četudi je v zadnjih letih prišlo do posameznih okužb zunaj Afrike, na primer do izbruha leta 2003 v Združenih državah Amerike, pa je do prvega večjega prenosa bolezni z opičjimi kozami prišlo v maju letošnjega leta. Dva primera posledično beležimo tudi v Sloveniji. 

Po svetu potrjenih že več kot 200 primerov

Trenutni izbruh opičjih koz se je v Evropi začel 6. maja 2022, začenši z britanskim rezidentom, ki je po potovanju v Nigerijo, kjer je bolezen endemična, začel kazati simptome, skladne z opičjimi kozami.

Število se je nato v naslednjih dneh v Angliji začelo povečevati, od 18. maja pa o mnogih primerih poročajo iz vse večjega števila držav in regij, predvsem v Evropi, pa tudi v Severni Ameriki, Južni Ameriki, Bližnjem vzhodu in Avstraliji.

Do 26. maja je bilo Svetovni zdravstveni organizaciji prijavljenih skupno 257 laboratorijsko potrjenih primerov in približno 120 domnevnih primerov.

Pri tem Svetovna zdravstvena organizacija poudarja, da se razmere hitro razvijajo, zaradi česar pričakujejo, da bo ugotovljenih še veliko več primerov.

Največ potrjenih primerov je trenutno v Združenem kraljestvu, in sicer 106. Sledita Portugalska z 59 in Kanada s 26 primeri. Dva primera beležimo v Sloveniji.

Navodila za okužene že pripravili tudi na NIJZ

Svetovna zdravstvena organizacija je tako zaradi širjenja opičjih koz v državah, kjer teh doslej niso poznali, že pozvala k različnim ukrepom.

Kljub temu da organizacija razloga za preplah ne vidi, pa je države pozvala k čim hitrejši registraciji okuženih, sledenju njihovih stikov ter izolaciji prizadetih.

Poleg tega imamo po besedah strokovnjakov dobro priložnost oziroma časovno okno, da širjenje bolezni ustavimo zdaj. A ostaja vprašanje, koliko zalog cepiva proti črnim kozam, ki je učinkovito tudi proti opičjim kozam, je trenutno na voljo.

Na Nacionalnem inštitutu za javno zdravje so tako že pripravili navodila za okužene z virusom opičjih koz, ki se zdravijo v domači oskrbi.

Slednji naj ostanejo doma, omejijo stike in upoštevajo priporočila za preprečevanje širjenja bolezni v obdobju, ki ga določi zdravnik in načeloma traja, dokler ne odpadejo kraste. Navodila so pripravili tudi za tesne stike okuženih.

Anketa

Zaradi vedno večjega števila črnih koz v Evropi in posledičnih dveh primerov okužbe v Sloveniji smo se odločili preveriti, ali naše bralce skrbi, da bodo opičje koze prerasle v epidemijo svetovnih razsežnosti kot covid-19.

Svoje stališče lahko izrazite v spodnji anketi.

Vas skrbi, da bodo opičje koze prerasle v epidemijo svetovnih razsežnosti kot covid-19?

Da.
17 %
Ne.
83 %
Nisem preprčan(a).
0 %
Skupaj glasov: 6

Preberite še

Komentarji

Komentarji

Lokalno

Vse v Lokalno

Šport

Vse v Šport

Politika

Gospodarstvo

Slovenija

Scena

Svet

Vse v Svet

Kronika

Vse v Kronika

Kultura

Vse v Kultura